제이오성형외과 EVENT 바로가기
Before & After
제이오성형외과의 전후사진을 확인해 보세요!

* 위 게시물을 무단 도용시 저작권 및 초상권 침해로 법적 제재를 받으실 수 있습니다.
Total 436건 1 페이지
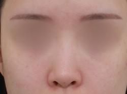
Before [25.02.20]
After [25.03.24]
  • 정면
남자성형 눈밑지방재배치
· 수술 및 시술 후 개인에 따라 예상치 못한 염증, 출혈, 감염 등 부작용이 발생할 수 있으므로 주의를 요합니다.
· 실제 수술환자 사진 및 동의서 작성 진행 후 사진 노출 되었습니다.
Before [25.07.17]
After [25.09.01]
  • 정면
남자성형 절개+눈매교정
· 수술 및 시술 후 개인에 따라 예상치 못한 염증, 출혈, 감염 등 부작용이 발생할 수 있으므로 주의를 요합니다.
· 실제 수술환자 사진 및 동의서 작성 진행 후 사진 노출 되었습니다.
Before [25.06.27]
After [25.08.02]
  • 정면
남자성형 매몰+눈매교정
· 수술 및 시술 후 개인에 따라 예상치 못한 염증, 출혈, 감염 등 부작용이 발생할 수 있으므로 주의를 요합니다.
· 실제 수술환자 사진 및 동의서 작성 진행 후 사진 노출 되었습니다.
Before [24.09.09]
After [25.03.27]
Before [24.09.09]
Before [25.03.27]
Before [24.09.09]
Before [25.03.27]
  • 정면
  • 45도
  • 측면
남자성형 코성형 (보형물+길이연장+기증늑+비중격)
· 수술 및 시술 후 개인에 따라 예상치 못한 염증, 출혈, 감염 등 부작용이 발생할 수 있으므로 주의를 요합니다.
· 실제 수술 환자 사진 및 동의서 작성 진행 후 사진 노출 되었습니다.
Before [24.09.10]
After [25.05.02]
Before [24.09.10]
Before [25.05.02]
Before [24.09.10]
Before [25.05.02]
  • 정면
  • 45도
  • 측면
남자성형 코성형 (맞춤형보형물 이노핏+길이연장+비중격)
· 수술 및 시술 후 개인에 따라 예상치 못한 염증, 출혈, 감염 등 부작용이 발생할 수 있으므로 주의를 요합니다.
· 실제 수술 환자 사진 및 동의서 작성 진행 후 사진 노출 되었습니다.
Before [25.07.31]
After [25.09.15]
Before [25.07.31]
Before [25.09.15]
  • 정면
  • 45도
눈성형 이마거상술 (20대)
· 수술 및 시술 후 개인에 따라 예상치 못한 염증, 출혈, 감염 등 부작용이 발생할 수 있으므로 주의를 요합니다.
· 실제 수술 환자 사진 및 동의서 작성 진행 후 사진 노출 되었습니다.
Before [25.08.04]
After [25.08.23]
Before [25.08.04]
Before [25.08.23]
  • 정면
  • 45도
눈성형 이마거상술 (30대)
· 수술 및 시술 후 개인에 따라 예상치 못한 염증, 출혈, 감염 등 부작용이 발생할 수 있으므로 주의를 요합니다.
· 실제 수술 환자 사진 및 동의서 작성 진행 후 사진 노출 되었습니다.
Before [25.07.22]
After [25.09.02]
Before [25.07.22]
Before [25.09.02]
  • 정면
  • 45도
기타 이마거상술 (40대)
· 수술 및 시술 후 개인에 따라 예상치 못한 염증, 출혈, 감염 등 부작용이 발생할 수 있으므로 주의를 요합니다.
· 실제 수술 환자 사진 및 동의서 작성 진행 후 사진 노출 되었습니다.
Before [25.05.12]
After [25.06.20]
Before [25.05.12]
Before [25.06.20]
  • 정면
  • 45도
중년성형 이마거상술+하안검 (60대)
· 수술 및 시술 후 개인에 따라 예상치 못한 염증, 출혈, 감염 등 부작용이 발생할 수 있으므로 주의를 요합니다.
· 실제 수술 환자 사진 및 동의서 작성 진행 후 사진 노출 되었습니다.
Before [25.08.04]
After [25.08.23]
  • 정면
남자성형 눈밑지방재배치 + 금실리프팅(루나셀) 눈밑
· 수술 및 시술 후 개인에 따라 예상치 못한 염증, 출혈, 감염 등 부작용이 발생할 수 있으므로 주의를 요합니다.
· 실제 수술환자 사진 및 동의서 작성 진행 후 사진 노출 되었습니다.
Before [24.08.09]
After [24.09.12]
  • 정면
리프팅 금실리프팅 (눈밑)
· 수술 및 시술 후 개인에 따라 예상치 못한 염증, 출혈, 감염 등 부작용이 발생할 수 있으므로 주의를 요합니다.
· 실제 수술환자 사진 및 동의서 작성 진행 후 사진 노출 되었습니다.
Before [24.07.17]
After [25.06.25]
Before [24.07.17]
Before [25.06.25]
Before [24.07.17]
Before [25.06.25]
  • 정면
  • 45도
  • 측면
코성형 보형물+매부리+길이연장+절골+복코교정+비중격
· 수술 및 시술 후 개인에 따라 예상치 못한 염증, 출혈, 감염 등 부작용이 발생할 수 있으므로 주의를 요합니다.
· 실제 수술환자 사진 및 동의서 작성 진행 후 사진 노출 되었습니다.
  • 436
    Before [25.02.20]
    After [25.03.24]
  • 435
    Before [25.07.17]
    After [25.09.01]
  • 434
    Before [25.06.27]
    After [25.08.02]
  • 433
    Before [24.09.09]
    After [25.03.27]
  • 432
    Before [24.09.10]
    After [25.05.02]
  • 431
    Before [25.07.31]
    After [25.09.15]
  • 430
    Before [25.08.04]
    After [25.08.23]
  • 429
    Before [25.07.22]
    After [25.09.02]
  • 428
    Before [25.05.12]
    After [25.06.20]
  • 427
    Before [25.08.04]
    After [25.08.23]
  • 426
    Before [24.08.09]
    After [24.09.12]
  • 425
    Before [24.07.17]
    After [25.06.25]

검색

카톡상담
예약신청
GO TOP
번역 아이콘
  • 🇰🇷 한국어
  • 🇺🇸 영어
  • 🇯🇵 일본어
  • 🇨🇳 중국어(번체)
  • 🇹🇼 중국어(간체)
  • 🇷🇺 러시아어
  • 🇲🇳 몽골어
  • 🇲🇲 미얀마어
  • 🇻🇳 베트남어
  • 🇦🇪 아랍어
  • 🇰🇭 크메르어
  • 🇹🇭 태국어
  • 🇫🇷 프랑스어
  • 🇵🇭 필리핀어
close
Reseration
예약 신청 ㅣ 온라인 예약 신청
상담부위를 선택하세요. chevron_right
희망날짜를 선택하세요. chevron_right
예약 날짜 :
<< >>
SUN MON TUE WED THU FRI SAT
희망시간을 선택하세요. chevron_right
예약 시간 :

온라인 빠른 예약은 "예약 확정"이 아니라 "예약 신청" 입니다.
예약 신청을 해주시면 예약 확정을 위해 상담원이 연락을 드리고 있습니다.

상담원과의 통화 후 예약 확정이 되는 시스템이니 착오 없으시길 바랍니다. 😊
감사합니다.

개인정보처리방침