제이오성형외과 EVENT 바로가기
Before & After
제이오성형외과의 전후사진을 확인해 보세요!

* 위 게시물을 무단 도용시 저작권 및 초상권 침해로 법적 제재를 받으실 수 있습니다.
Total 46건 1 페이지
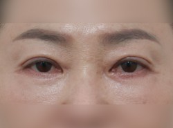
Before [25.05.12]
After [25.06.20]
Before [25.05.12]
Before [25.06.20]
  • 정면
  • 45도
중년성형 이마거상술+하안검 (60대)
· 수술 및 시술 후 개인에 따라 예상치 못한 염증, 출혈, 감염 등 부작용이 발생할 수 있으므로 주의를 요합니다.
· 실제 수술 환자 사진 및 동의서 작성 진행 후 사진 노출 되었습니다.
Before [24.01.04]
After [24.02.13]
  • 정면
중년성형 상안검+눈매교정
· 수술 및 시술 후 개인에 따라 예상치 못한 염증, 출혈, 감염 등 부작용이 발생할 수 있으므로 주의를 요합니다.
· 실제 수술 환자 사진 및 동의서 작성 진행 후 사진 노출 되었습니다.
Before [24.06.24]
After [24.10.28]
  • 정면
중년성형 상안검+눈매교정+앞트임+눈 밑 금실리프팅(루나셀)
· 수술 및 시술 후 개인에 따라 예상치 못한 염증, 출혈, 감염 등 부작용이 발생할 수 있으므로 주의를 요합니다.
· 실제 수술 환자 사진 및 동의서 작성 진행 후 사진 노출 되었습니다.
Before [24.04.08]
After [24.09.25]
  • 정면
중년성형 상안검 재수술+눈매교정+피부정리+하안검+지방재배치
· 수술 및 시술 후 개인에 따라 예상치 못한 염증, 출혈, 감염 등 부작용이 발생할 수 있으므로 주의를 요합니다.
· 실제 수술 환자 사진 및 동의서 작성 진행 후 사진 노출 되었습니다.
Before [25.03.05]
After [25.05.14]
Before [25.03.05]
Before [25.05.14]
  • 정면
  • 45도
중년성형 이마거상술 (60대)
· 수술 및 시술 후 개인에 따라 예상치 못한 염증, 출혈, 감염 등 부작용이 발생할 수 있으므로 주의를 요합니다.
· 실제 수술 환자 사진 및 동의서 작성 진행 후 사진 노출 되었습니다.
Before [23.05.02]
After [23.06.26]
Before [23.05.02]
Before [23.06.26]
  • 정면
  • 45도
중년성형 이마거상술 (70대)
· 수술 및 시술 후 개인에 따라 예상치 못한 염증, 출혈, 감염 등 부작용이 발생할 수 있으므로 주의를 요합니다.
· 실제 수술 환자 사진 및 동의서 작성 진행 후 사진 노출 되었습니다.
Before [23.01.26]
After [23.06.16]
Before [23.01.26]
Before [23.06.16]
  • 정면
  • 45도
중년성형 이마거상술 (70대)
· 수술 및 시술 후 개인에 따라 예상치 못한 염증, 출혈, 감염 등 부작용이 발생할 수 있으므로 주의를 요합니다.
· 실제 수술 환자 사진 및 동의서 작성 진행 후 사진 노출 되었습니다.
Before [23.05.24]
After [23.07.07]
Before [23.05.24]
Before [23.07.07]
  • 정면
  • 45도
중년성형 이마거상술 (60대)
· 수술 및 시술 후 개인에 따라 예상치 못한 염증, 출혈, 감염 등 부작용이 발생할 수 있으므로 주의를 요합니다.
· 실제 수술 환자 사진 및 동의서 작성 진행 후 사진 노출 되었습니다.
Before [24.01.23]
After [24.03.21]
Before [24.01.23]
Before [24.03.21]
  • 정면
  • 45도
중년성형 이마거상 (50대)
· 수술 및 시술 후 개인에 따라 예상치 못한 염증, 출혈, 감염 등 부작용이 발생할 수 있으므로 주의를 요합니다.
· 실제 수술 환자 사진 및 동의서 작성 진행 후 사진 노출 되었습니다.
Before [24.08.06]
After [24.09.20]
  • 정면
중년성형 상안검+눈매교정+눈 위 지방이식
· 수술 및 시술 후 개인에 따라 예상치 못한 염증, 출혈, 감염 등 부작용이 발생할 수 있으므로 주의를 요합니다.
· 실제 수술 환자 사진 및 동의서 작성 진행 후 사진 노출 되었습니다.
Before [24.08.30]
After [24.12.31]
  • 정면
중년성형 하이브리드 하안검+매몰+눈 위 지방이식
· 수술 및 시술 후 개인에 따라 예상치 못한 염증, 출혈, 감염 등 부작용이 발생할 수 있으므로 주의를 요합니다.
· 실제 수술 환자 사진 및 동의서 작성 진행 후 사진 노출 되었습니다.
Before [23.06.30]
After [23.07.10]
  • 정면
중년성형 눈썹밑거상술+하안검
· 수술 및 시술 후 개인에 따라 예상치 못한 염증, 출혈, 감염 등 부작용이 발생할 수 있으므로 주의를 요합니다.
· 실제 수술 환자 사진 및 동의서 작성 진행 후 사진 노출 되었습니다.
  • 46
    Before [25.05.12]
    After [25.06.20]
  • 45
    Before [24.01.04]
    After [24.02.13]
  • 44
    Before [24.06.24]
    After [24.10.28]
  • 43
    Before [24.04.08]
    After [24.09.25]
  • 42
    Before [25.03.05]
    After [25.05.14]
  • 41
    Before [23.05.02]
    After [23.06.26]
  • 40
    Before [23.01.26]
    After [23.06.16]
  • 39
    Before [23.05.24]
    After [23.07.07]
  • 38
    Before [24.01.23]
    After [24.03.21]
  • 37
    Before [24.08.06]
    After [24.09.20]
  • 36
    Before [24.08.30]
    After [24.12.31]
  • 35
    Before [23.06.30]
    After [23.07.10]

검색

카톡상담
예약신청
GO TOP
번역 아이콘
  • 🇰🇷 한국어
  • 🇺🇸 영어
  • 🇯🇵 일본어
  • 🇨🇳 중국어(번체)
  • 🇹🇼 중국어(간체)
  • 🇷🇺 러시아어
  • 🇲🇳 몽골어
  • 🇲🇲 미얀마어
  • 🇻🇳 베트남어
  • 🇦🇪 아랍어
  • 🇰🇭 크메르어
  • 🇹🇭 태국어
  • 🇫🇷 프랑스어
  • 🇵🇭 필리핀어
close
Reseration
예약 신청 ㅣ 온라인 예약 신청
상담부위를 선택하세요. chevron_right
희망날짜를 선택하세요. chevron_right
예약 날짜 :
<< >>
SUN MON TUE WED THU FRI SAT
희망시간을 선택하세요. chevron_right
예약 시간 :

온라인 빠른 예약은 "예약 확정"이 아니라 "예약 신청" 입니다.
예약 신청을 해주시면 예약 확정을 위해 상담원이 연락을 드리고 있습니다.

상담원과의 통화 후 예약 확정이 되는 시스템이니 착오 없으시길 바랍니다. 😊
감사합니다.

개인정보처리방침